And you made it happen! 

When Morgan first discovered she was pregnant, her thoughts were similar to many young women in her position. “My first thought was, ‘Wow, I’m pregnant,’ and my second was, ‘I actually have no idea what to do right now.’” 

Fortunately, Morgan had friends she could turn to for help. And they knew just where to send her: First Care Clinic. 

Morgan described her experience at Care Net’s First Care Clinic as “different, but refreshing.” Morgan met with an advocate first. “ I was able to talk through the things I couldn’t with others,” remembered Morgan. “They asked me the important questions, like if I was safe and in a healthy relationship. We also  talked about my options.” 

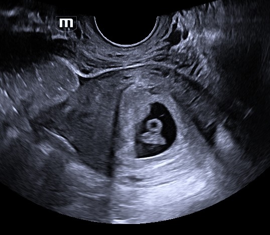
Next, Morgan met with a nurse, Danielle. “She was a fantastic nurse who was very informative, respectful, and kind,” said Morgan. “She took her time explaining things to me, answering any questions I had, and making sure I had the resources I needed.” The ultrasound didn’t provide all the information they needed to confirm viability, so Morgan was asked to return.   

When Morgan came back for her second appointment, the baby’s heartbeat was still low. She suggested Morgan come back for another ultrasound a week later to ensure viability. “She made me feel like I was safe walking out of the appointment,” said Morgan. “It was almost like she was holding my hand through all of these unknowns.” 

The follow-up ultrasound showed a strong heartbeat and a viable pregnancy. Now, it was time for Morgan and her boyfriend to make a decision.  

“I first came in very much unsure of what I wanted to do.,” said Morgan. “My boyfriend and I bounced around all our options—abortion, adoption or parenting—for a good couple of weeks.” 

As time went by, both Morgan and her boyfriend began to feel connected to the baby.  “We had a lot of conversations about how it would take a lot of change to prepare for a baby, about whether this was the right financial time, that I was still in school, what that would look like for work in the future.” 

Morgan shared that while no one at the clinic told her what to do, it was the conversations she had with staff that encouraged her to continue her pregnancy. “They made me feel like, “Hey, it might be difficult, but I am capable of great things,’” said Morgan. “They made me feel a lot more confident in myself. They helped me see that I had amazing people to support me, and I could handle this if this is what I wanted.” 

And Morgan and her boyfriend came to realize that they did want to have this child.  

What started out as an unexpected pregnancy with lots of uncertainty turned into a very happy ending. Not only did Morgan and her boyfriend decide to become parents, but they got engaged. “I asked him if this was nudged on because of the pregnancy,” remembered Morgan.  And he told me, ‘No.’ He had picked up my ring the day before we even found out I was pregnant.”  

Morgan emphasized how much she valued the care and support she received from the staff. “I had such a great experience,” said Morgan. “I didn’t get in there and think I was a burden. They wanted me to have the best possible outcome, no matter what decision I made.” 

Morgan’s story illustrates the importance of offering multiple appointments to women facing unplanned pregnancies. It’s not uncommon for women in this situation to need time to process their pregnancy and understand their options, and that can often require more than one or two appointments.  

“First Care Clinic staff were there for me when I needed them most,” said Morgan. “And that made a world of difference.”